Caring for
Tomorrow’s
Beginning
Advanced Fetal Medicine and Ultrasound
care in the heart of Kolkata
OUR PURPOSE IS TO PROVIDE THE BEST CARE FOR UNBORN BABIES
We do this by bringing world-class expertise and cutting-edge technology together to protect and nurture life from its earliest stages.
At NESA, every heartbeat matters...
About us
NESA - INSTITUTE OF FETAL MEDICINE
At NESA Institute of Fetal Medicine, we nurture life from its earliest stages. Founded by Dr. Khurshid Alam, one of India’s leading fetal medicine specialists, NESA combines world-class expertise, cutting-edge imaging technology, and a compassionate approach to ensure the well-being of both mother and child. Our mission is simple: to provide precise, personalized, and ethical care for your unborn — while advancing knowledge in fetal medicine through academics and training.
Workshop
Fetal Growth Restriction – Unlocked, A NIFM Study Group Initiative








OUR SERVICES
Advanced Gynecological Ultrasound for PCOS
Understanding PCOS Through Advanced Gynecologic Ultrasound Polycystic Ovary Syndrome (PCOS) can sometimes feel overwhelming with its many symptoms—irregular periods, acne,
Know MOre
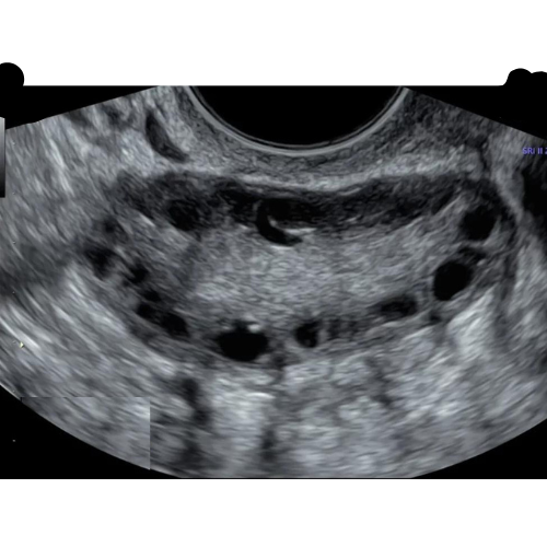
Follicular Monitoring during Fertility treatment
Follicular Monitoring at NESA Institute of Fetal Medicine Helping you understand your cycle, boost your chances, and take the stress
Know MOre
Endometrial Thickness Study
What Is an Endometrial Thickness Study? An endometrial thickness study is an ultrasound scan that measures how thick and healthy
Know MOre
Advanced Gynecological Scan for Endometriosis
Precision Imaging for Early Detection and Effective Management Endometriosis is one of the most complex gynecological conditions, often causing pelvic
Know MOre
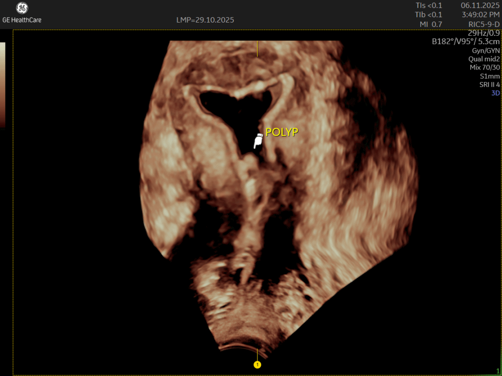
Saline Infusion Sonography (Day 5 – Day 12)
Saline Infusion Sonography (SIS) | Uterine Cavity Assessment at NESA What Is Saline Infusion Sonography? Saline Infusion Sonography (SIS), also
Know MOre
Fetal Well-being Scan in kolkata (28 – 40 weeks GA)
Fetal Well-being Scan at NESA Institute of Fetal Medicine, Kolkata As your pregnancy journey enters its final weeks, NESA Institute
Know MOre
Fetal Dating & Viability Scan (6-8 weeks GA)
A guide to Dating and Viability Scan at NESA Institute of Fetal Medicine, Kolkata A Dating and Viability Scan is
Know MOre
Fetal Growth Scan (28–32 Weeks GA)
Your Complete Guide to Fetal 3D/4d Growth Scan in Kolkata at NESA Institute of Fetal Medicine Are you looking for
Know MOre
Fetal Echocardiography (22–26 weeks GA)
Fetal Echocardiography in kolkata Fetal echocardiography is a valuabe early screening tool for Fetal Heart Defects. It is a specialized
Know MOre
Fetal Anomaly Scan (18-22 weeks)
Fetal Anomaly Scan in Kolkata Looking for a reliable and trusted Fetal Ultrasound centre for a Fetal Anatomy scan in
Know MOre
Fetal NT Scan (12-13 weeks GA)
Nuchal Translucency Scan at NESA Institute of Fetal Medicine, Kolkata Looking for a reliable Fetal NT (Nuchal Translucency) Scan centre
Know MOre
Fetal Therapy
Fetal Therapy at NESA Institute of Fetal Medicine It can be overwhelming to learn that your baby may not survive
Know MOre
Chorionic Villi Sampling
Chorionic Villus Sampling (CVS): A Complete Guide CVS is an early genetic test done between 10–13 weeks of pregnancy. A
Know MOre
Amniocentesis
Amniocentesis involves collecting a small sample of amniotic fluid that surrounds the baby in the womb. It helps detect chromosomal
Know MOre
Pre-Eclampsia Screening
Pre-eclampsia Screening: PLGF, PAPP-A & Early Risk Test (11–14 Weeks) Pre-eclampsia screening is one of the best protective steps in
Know MOre
First Trimester Screening Test
First Trimester Screening: The Complete Guide for Expectant Parents First Trimester Screening (FTS) is your baby’s first “health check” between
Know MOre
Second Trimester Screening
Second Trimester Screening: What It Is, Why It Matters & What Parents Should Expect The second trimester is when pregnancy
Know MOre
MEET OUR FOUNDER
Behind NESA is a team of highly skilled sonographers, genetic counselors, and fetal medicine specialists led by Dr. Alam, with over 15 years of experience in advancing ultrasound imaging and fetal care in India.
MEET OUR SPECIALISTS
Dr. Deblina Kar
Junior Consultant
CBET
Dr. Deepti Rao
Junior Consultant
DGO
Dr. Jayshree Nandy
Junior Consultant
CBET
Dr. Shikha Marwah
Obs and Gynae, Jr. Consultant
DGO, DNB - OBS and Gynae
Dr. SK Nadeem Hossain
OBS and Gynae, Jr. Consultant
DNB and FNB - OBS and Gynae
Dr. Tasdiqul Islam
Radiodiagnosis
MD Radiodiagnosis
WHY NESA
Acclaimed Fetal Medicine Specialist in Kolkata
Advanced Clinical expertise
Precision
diagnostics
Advanced Imaging Tech Eco-system
Compassionate counseling
Comprehensive care — from Screening to interventions
Acclaimed Fetal Medicine Specialist in Kolkata
Advanced Clinical expertise
Precision
diagnostics
Advanced Imaging Tech Eco-system
Compassionate counseling
Comprehensive care — from Screening to interventions
WHY TRUST US WITH YOUR PREGNANCY SCANS?
Care led by one of India’s foremost fetal medicine specialists.
Precision Diagnostics powered by state-of-the-art GE Voluson systems designed for women and prenatal care.
Gives Accurate, Early Answers for confident diagnosis & timely decisions.
Precision Diagnosis helps detect issues early, which allows timely interventions.
Working closely with your healthcare team.
Trusted Expertise
Care led by one of India’s foremost fetal medicine specialists.
World-class Imaging
Precision Diagnostics powered by state-of-the-art GE Voluson systems designed for women and prenatal care.
Exceptional image clarity
Gives Accurate, Early Answers for confident diagnosis & timely decisions.
Early Detection
Precision Diagnosis helps detect issues early, which allows timely interventions.
Collaborative care
Working closely with your healthcare team.
What people say about us?
Komal Khurana
"As first-time parents, we were both nervous and excited for our first scan. Dr. Khurshid Alam explained every detail with such patience and clarity that we left feeling reassured and confident."
Tabassum
"The NT scan was something we were anxious about, but the experience at NESA was outstanding. Dr. Alam’s calm approach and reassurance after the scan gave us so much peace of mind. It felt like we were in the best possible hands."
Khushi Agarwal
"We came for our anomaly scan and were amazed by the clarity of the images and the thorough explanation provided. Dr. Khurshid Alam walked us through every step, making sure we understood the results. He made sure all our queries were answered and put our hearts at ease."
Saba Aslam
"We had our fetal echo done under Dr Khurshid Alam and were impressed with the in-depth way he performed the scan. The advanced USG technology, the careful attention given by Dr Khurshid Alam and his deep knowledge and reassuring words made it feel like a smooth and supportive experience."
Marium Khan
"During my third-trimester growth scan, I was struck by how detailed and attentive the process was at NESA. Dr. Khurshid Alam ensured we knew exactly how our baby was progressing, making us feel informed, supported, and cared for."
Know What’s happening in NESA
KNOWLEDGE HUB
Dr. Khurshid Alam, Director, NIFM (Kolkata)
Role of Colour Doppler in the Management of Fetal Growth Restriction
Insights from experts
BLOGS
Scans During Pregnancy: A Complete Guide for Expecting Parents
Discover the timeline of pregnancy scans during pregnancy...
Read more
Scans for High-Risk Pregnancies: What’s Different?
Explore the specialized scans recommended for high-risk...
Read more
Fetal Anomaly Scan: What Parents Need to Know
A complete guide to the fetal anomaly scan—when it’s done, what it...
Read more
Can a Fetal Scan Detect Down Syndrome during pregnancy?
Understand how a fetal scan can identify signs of Down syndrome...
Read more
Early Diagnosis Fetal Heart Defects vai Fetal Ultrasound
Learn how fetal ultrasound scans help detect heart defects early, supporting...
Read more
Academic Programs for Doctors
NESA is more than a clinic — it’s an academic hub for fetal medicine in Eastern India. Our academic programs train doctors in basic to advanced ultrasound diagnostics, fostering the next generation of fetal medicine specialists in India.
Long term training program
NESA’s Fellowship in Fetal Medicine & Ultrasound provides advanced training for Obstetrics and Gynecology (OB-GYN) physicians who wish to specialize in fetal imaging, diagnostics, and high-risk pregnancy management. Fellows gain in-depth exposure to 2D, 3D/4D, and Doppler imaging, invasive fetal therapies, and perinatal counseling. The program blends hands-on training, academic rigor, and research opportunities, preparing participants for leadership roles in fetal medicine.
Customized programs (6 months to 12 months)
Hands-on training with real cases
Exposure to Genetic Counseling
Case-based learning & discussions
One-on-one mentorship by Dr. Khurshid Alam & faculty
Academic presentations and theory sessions
Explore Academics at NESA
Short term training program
Designed for busy practitioners, NESA’s short-term programs focus on specific skill development in fetal medicine and diagnostic ultrasound. These intensive modules allow participants to gain targeted expertise in areas like anomaly scans, first-trimester screening, fetal echo, Doppler studies, and 3D/4D imaging — without committing to a long fellowship.
Duration: Customized Program (1 month to 3 Months)
Practical, focused modules on core scans
Hands-on exposure to real-time imaging
Structured curriculum with theory + practice
Ideal for OB-GYNs, radiologists & sonographers seeking upskilling
Explore Academics at NESA
Observership program
NESA’s Observership Program offers medical professionals the chance to observe advanced fetal medicine practices under expert supervision. Participants attend live scan sessions, theory classes, and academic discussions — providing valuable insights without direct patient handling.
Durations: 15 days to 1 month
Access to theory classes and academic sessions during the tenure
Exposure to advanced fetal imaging and counseling methods
Ideal for young doctors exploring fetal medicine as a career pathway
Explore Academics at NESA
Simulator based training
For practitioners who wish to master one specific fetal procedure, NESA offers single-procedure training modules. These short, focused programs provide in-depth knowledge and practical exposure to methods such as anomaly scans, NT scans, fetal echos, Doppler studies, and 3D/4D ultrasounds.
Duration: 15 days
Hands-on practice with guidance from specialists on Simulator
Covers clinical interpretation, reporting, and counseling
Suitable for specialists seeking skill refinement in a targeted area
Explore Academics at NESA
We are open all days
Monday – Saturday : 9 AM – 7 PM
Sunday: 10 AM – 2 PM
Book an Appointment