Clinic Hours : Mon – Sat 9 AM – 7 PM | Sun 10 AM – 2 PM

Saline Infusion Sonography (Day 5 – Day 12)

Saline Infusion Sonography (SIS) | Uterine Cavity Assessment at NESA

What Is Saline Infusion Sonography?

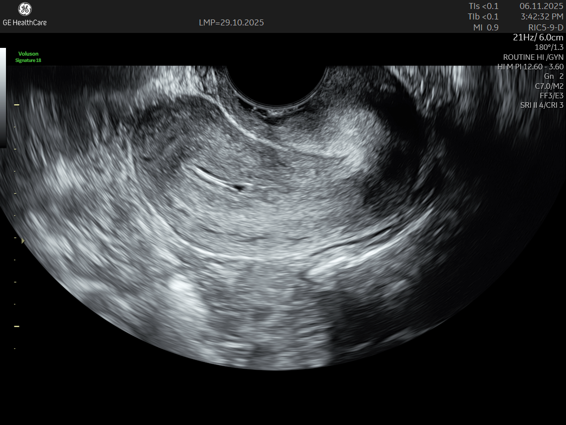
Saline Infusion Sonography (SIS), also known as saline sonohysterography, is a specialized ultrasound that provides a clearer and more detailed view of the uterine cavity. A routine scan uses ultrasound waves for visuaising th internal organs. A special USG transducer detects the echoes from the waves that bounce off the surface of the organs and soft tissues. But since the inside of the uterus cavity is filled with fluid, any abnormalities inside the uterine cavity cannot be differentiated in a 2D ultrasound. A SIS involves gently introducing sterile saline into the uterus, which helps highlight the inner lining and reveal even subtle abnormalities.

Why is it done?

SIS is a diagnostic ultrasound technique designed to assess the uterus in greater detail. By filling the uterine cavity with a saline solution, the procedure separates the cavity walls and offers a clear contrast during imaging. This allows doctors to identify issues that might be missed on a standard pelvic ultrasound.

When is it done?

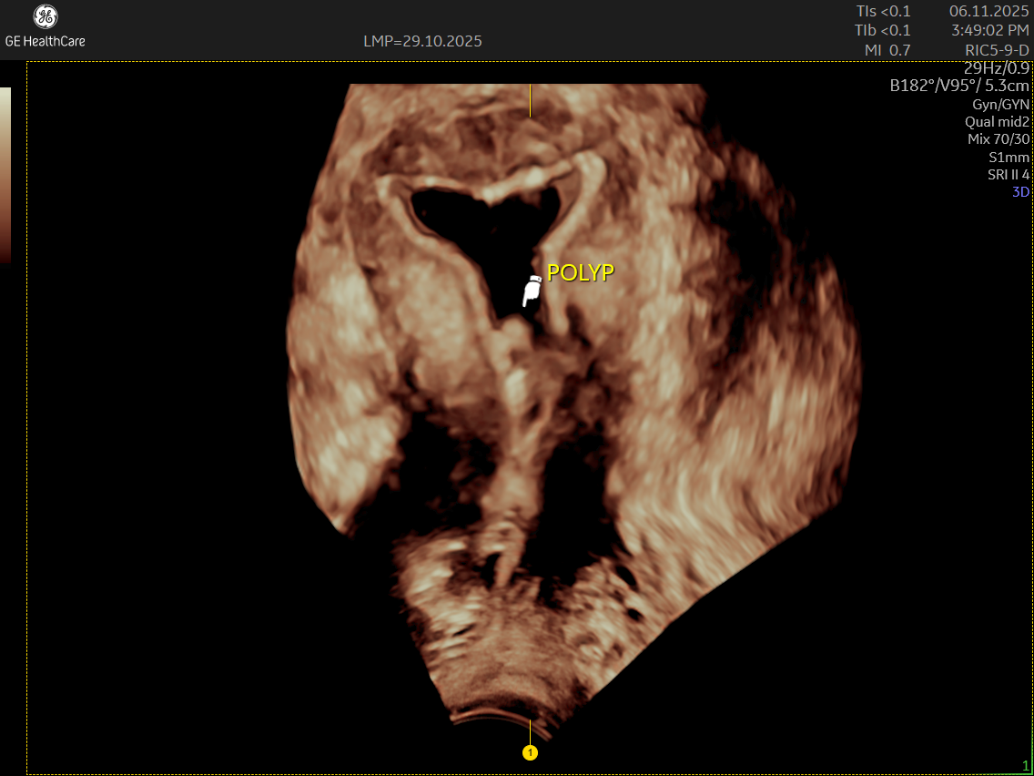
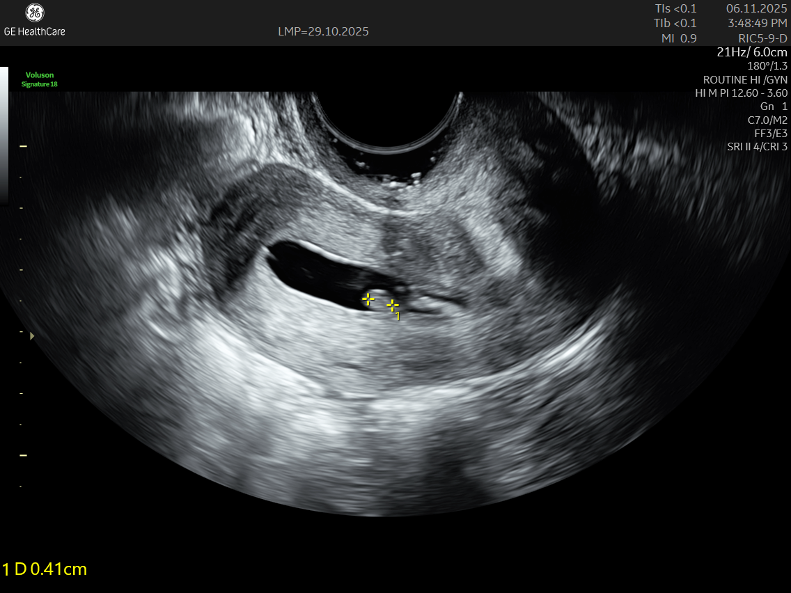
Saline Infusion Sonography is typically recommended when you experience irregular bleeding, infertility concerns, or abnormal ultrasound results. The procedure helps detect:

  • Uterine fibroids or muscular growths
  • Endometrial polyps
  • Scar tissue or adhesions
  • Congenital uterine anomalies
  • Endometrial thickness irregularities

Accurate diagnosis through SIS helps guide treatment decisions, fertility planning, and overall uterine health management.

What to Expect During the Procedure

The procedure is simple, safe, and minimally invasive. It is usually performed after menstruation but before ovulation for best visibility.

  • You will lie comfortably while a thin catheter is gently inserted into the uterus.
  • Sterile saline is slowly introduced to fill the cavity.
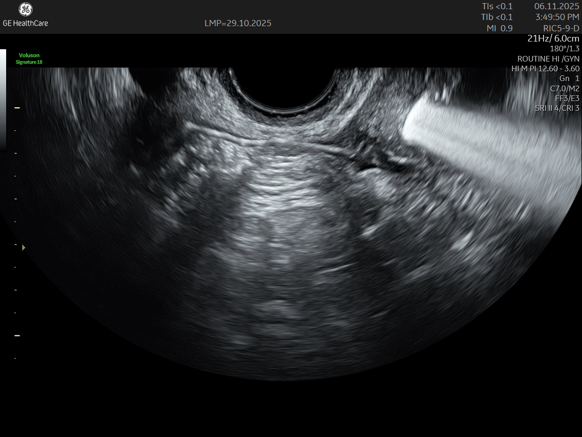
  • A transvaginal ultrasound is performed simultaneously to capture detailed images.
  • The process usually takes about 15–20 minutes and causes only mild discomfort in most women.

There’s no recovery downtime—you can resume your normal routine immediately afterward.

The NESA Advantage

At NESA Institute, Saline Infusion Sonography is conducted by experienced specialists using advanced ultrasound systems and strict safety protocols. Each procedure is customised for precision and patient comfort, ensuring clear imaging and reliable diagnostic outcomes. Whether you need assessment for infertility, recurrent miscarriages, or abnormal bleeding, NESA’s team provides expert evaluation and guidance for your next steps in care.

Schedule Your Saline Infusion Sonography in Kolkata

If your doctor has recommended a detailed uterine evaluation, book your Saline Infusion Sonography at NESA Institute, Kolkata. Our experienced team ensures an accurate, smooth, and reassuring experience from consultation to report delivery.

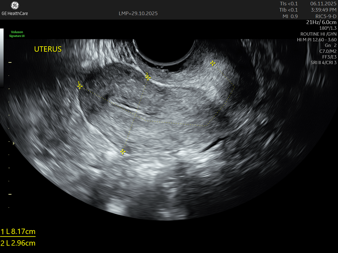
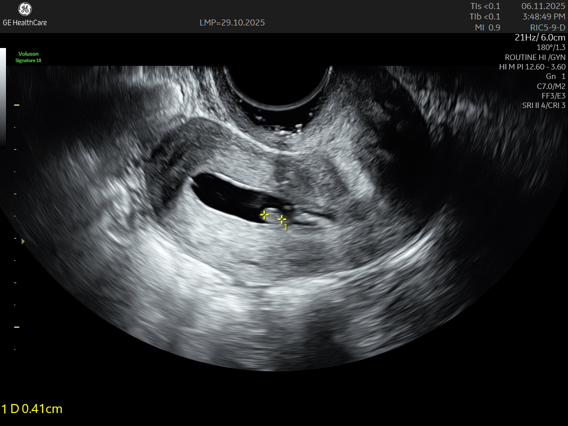
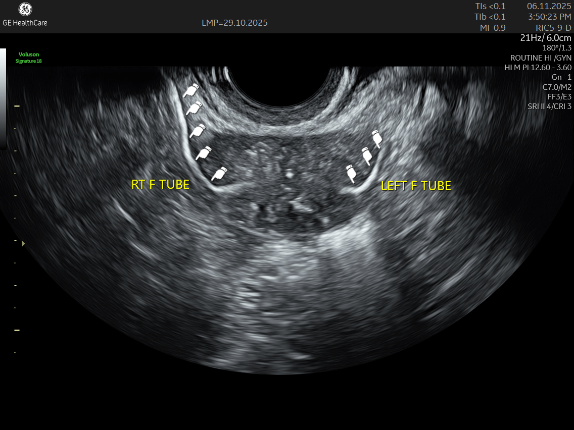
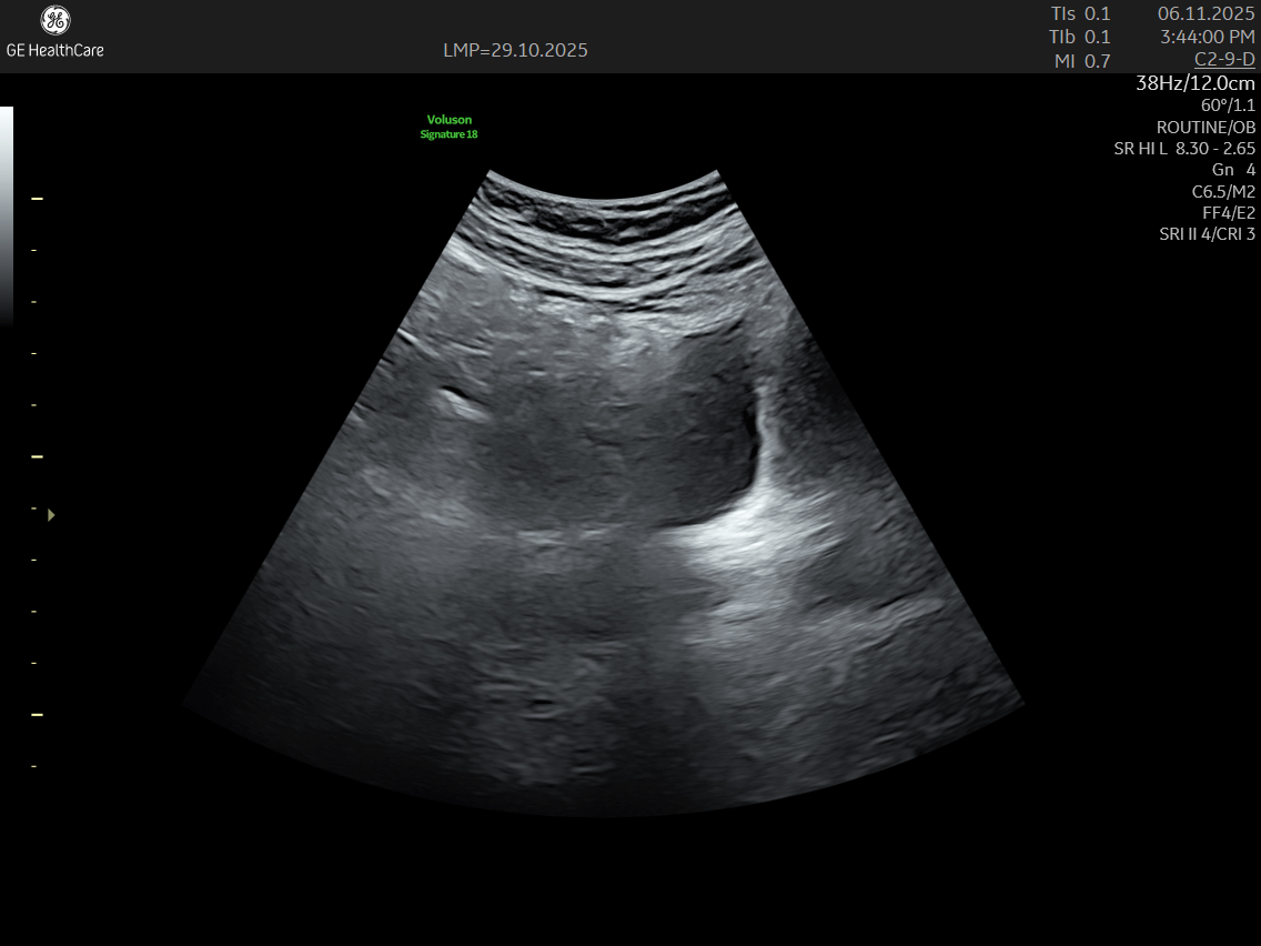
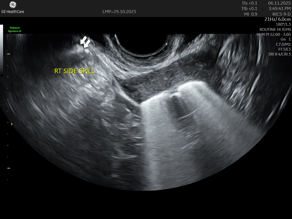
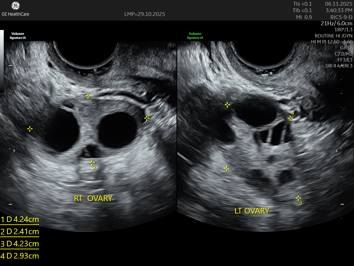
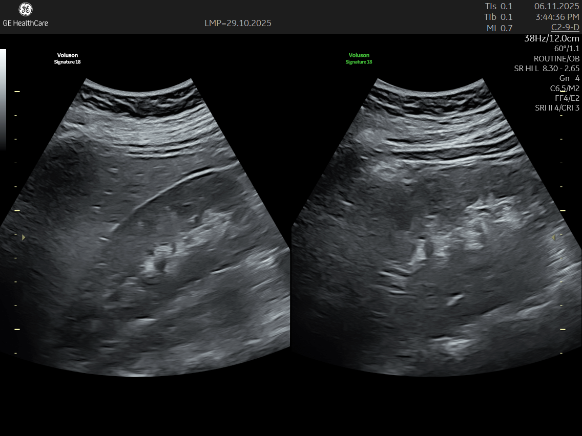
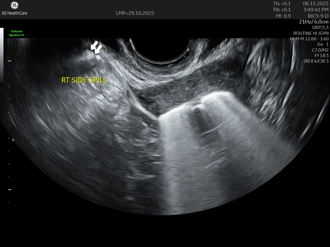
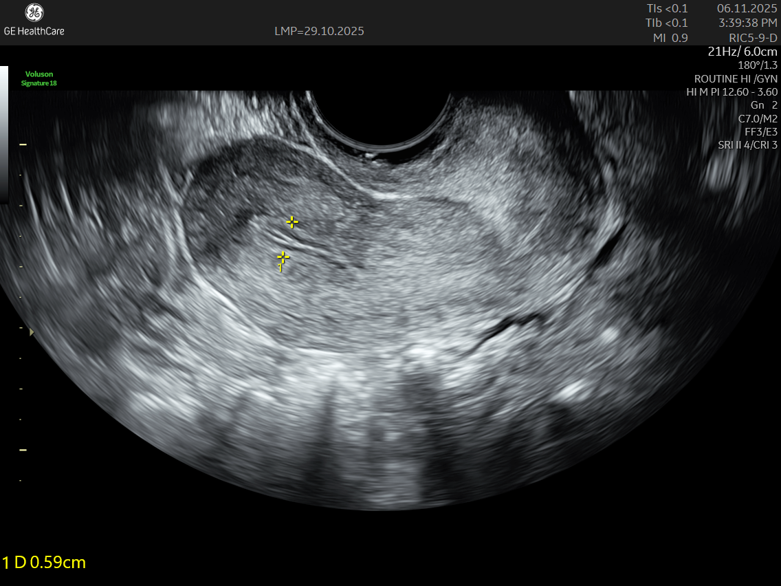
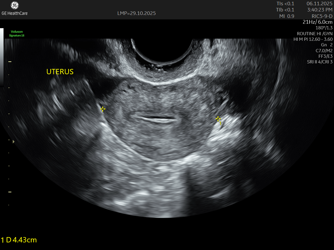
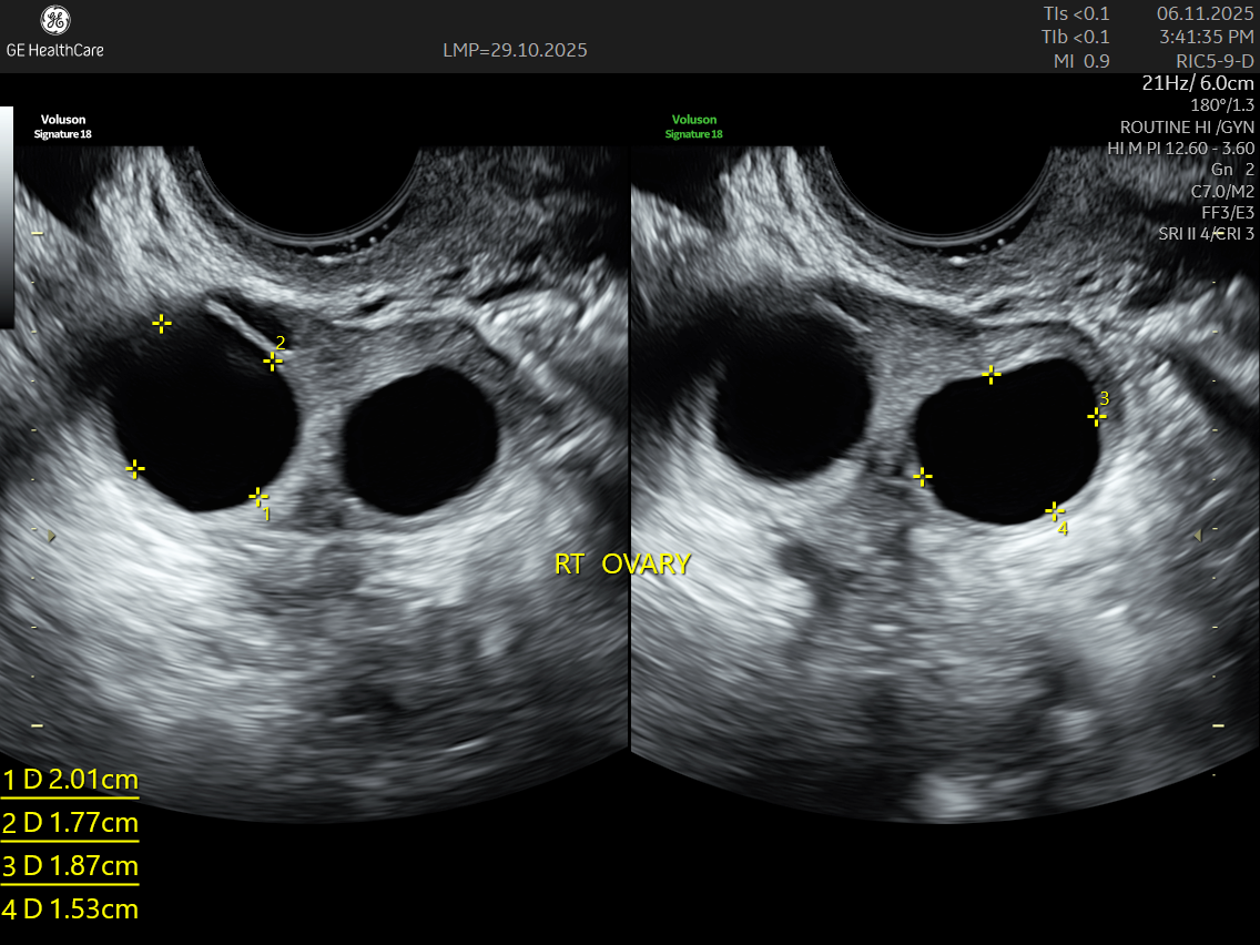
IMAGE GALLERY

Conclusion

Saline Infusion Sonography offers a clearer, more detailed look at the uterine cavity—helping you finally understand what might be affecting your cycles, fertility, or overall reproductive health. At NESA, we combine advanced imaging with gentle, patient-focused care so the procedure feels as comfortable, informative, and reassuring as possible. Whether you’re evaluating symptoms, planning a pregnancy, or seeking clarity after months of uncertainty, our team is here to guide you with empathy and expertise. When you’re ready for answers that truly support your next steps, we’re here to help.

Explore Our Other Services

FAQs

How should I prepare for the scan?
The scan is usually scheduled after menstruation and before ovulation. You may be advised to empty your bladder before the procedure and take a mild pain reliever if needed.
Most women experience only mild cramping or discomfort similar to period cramps during the fluid infusion. The entire process is quick and well-tolerated.
Reports are typically ready on the same day, with detailed findings reviewed by your referring doctor for further management.
Both SIS and SSG are technically the same procedure.. They are a form of advanced ultrasound where sterile saline (SIS) or contrast (SSG) solution is introduced into the uterus to clearly assess the uterine cavity and detect conditions like polyps, fibroids, or anomalies.
Yes. While a standard ultrasound shows structural outlines, SIS provides a much clearer view of the uterine lining and cavity, making it more precise for diagnosing internal abnormalities.
The Saline Infusion Sonography (SIS) cost in Kolkata is approximately between ₹3000–₹4500. To know the cost of SIS Scan at NESA Institute of Fetal Medicine, Kolkata, contact our team directly for more information.

See the Full Picture of Your Uterine Health

Gain detailed insights into your uterus and fertility with an accurate diagnosis via saline infusion sonography. Because every small detail matters when it’s about your health.

Insights from experts

BLOGS

Pregnancy Scans in Kolkata
Scroll to Top

BOOK YOUR APPOINTMENT NOW!