Pre-eclampsia Screening: PLGF, PAPP-A & Early Risk Test (11–14 Weeks)
Pre-eclampsia screening is one of the best protective steps in pregnancy you can take early in pregnancy. It checks how well your placenta is developing and tells you if you’re at risk of developing high blood pressure complications later. It’s early, it’s safe, and it’s way more powerful than most people realise.
What Is Pre-eclampsia Screening?
Pre-eclampsia screening is a first-trimester test done around 11–14 weeks to check your risk of developing pre-eclampsia — a pregnancy complication where your blood pressure rises and affects your baby’s growth and the placenta’s health. Pre-eclampsia screening is an early warning system to catch the risk before the problem even starts.
Why Is Pre-eclampsia a Big Deal?
Pre-eclampsia is a pregnancy condition where your blood pressure rises and the placenta doesn’t function properly. It usually shows up after 20 weeks — but the warning signs start much earlier.
It can lead to:
- High blood pressure
- Swelling, headaches, vision symptoms
- Reduced baby growth
- Preterm birth
- Serious complications for mother and baby if untreated
And here’s the key part: Most women feel nothing in the early stages. That’s why screening is so important.This is exactly why screening in the first trimester matters.
Early risk detection = early prevention.
What Does the Screening Include?
The screening looks at three things together:
Your Medical and Pregnancy History
- Age
- Weight
- First pregnancy or not
- IVF pregnancy
- Family history
- Blood pressure history
This gives your “baseline risk”.
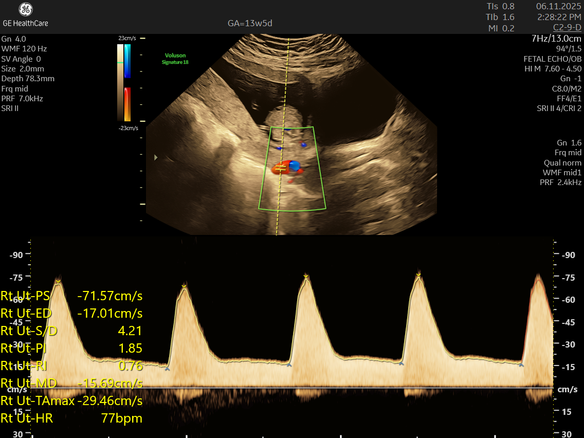
Blood Pressure Measurement
Not the casual BP check at your local chemist —but a special double-arm BP reading, done correctly, to detect early patterns.
A Blood Test (Biomarker Test)
The test checks:
- PAPP-A
- PLGF (Placental Growth Factor)
Low PLGF or low PAPP-A can indicate poor placental development — an early hint of possible pre-eclampsia.
How the Risk Is Calculated
All the above information is entered into a certified algorithm (FMF-approved).
It gives you a personalized risk score, like:
- Low Risk — normal pregnancy follow-up
- High Risk — your doctor may start preventive treatment (usually low-dose aspirin)
If You’re High Risk — What Happens Next?
High risk does NOT mean you will get pre-eclampsia. It means you’re more likely than average, so let’s protect you early. Your doctor may:
- Start low-dose aspirin (usually at night, until 36 weeks)
- Monitor BP more closely
- Keep an eye on the baby’s growth
Done early, this reduces the chance of pre-eclampsia by up to 60%.
Who Should Definitely Get the Screening?
This Screening is recommended if you:
- Had pre-eclampsia before
- Have high BP or kidney problems
- Are you pregnant via IVF
- Are carrying twins
- Have diabetes
- Have autoimmune conditions
- Have a family history of pre-eclampsia
When Is the Test Done?
Between 11–14 weeks only. Miss the window, miss the accuracy.
This is when the placenta is developing and biomarkers (like PLGF) give the clearest signals.
Earlier or later = less accurate.

