Understanding PCOS Through Advanced Gynecologic Ultrasound
Polycystic Ovary Syndrome (PCOS) can sometimes feel overwhelming with its many symptoms—irregular periods, acne, weight changes—but at its core, it’s a hormonal imbalance affecting how your ovaries work. The good news is that an advanced ultrasound scan provides a clear window into your ovarian health, making diagnosis straightforward and empowering.
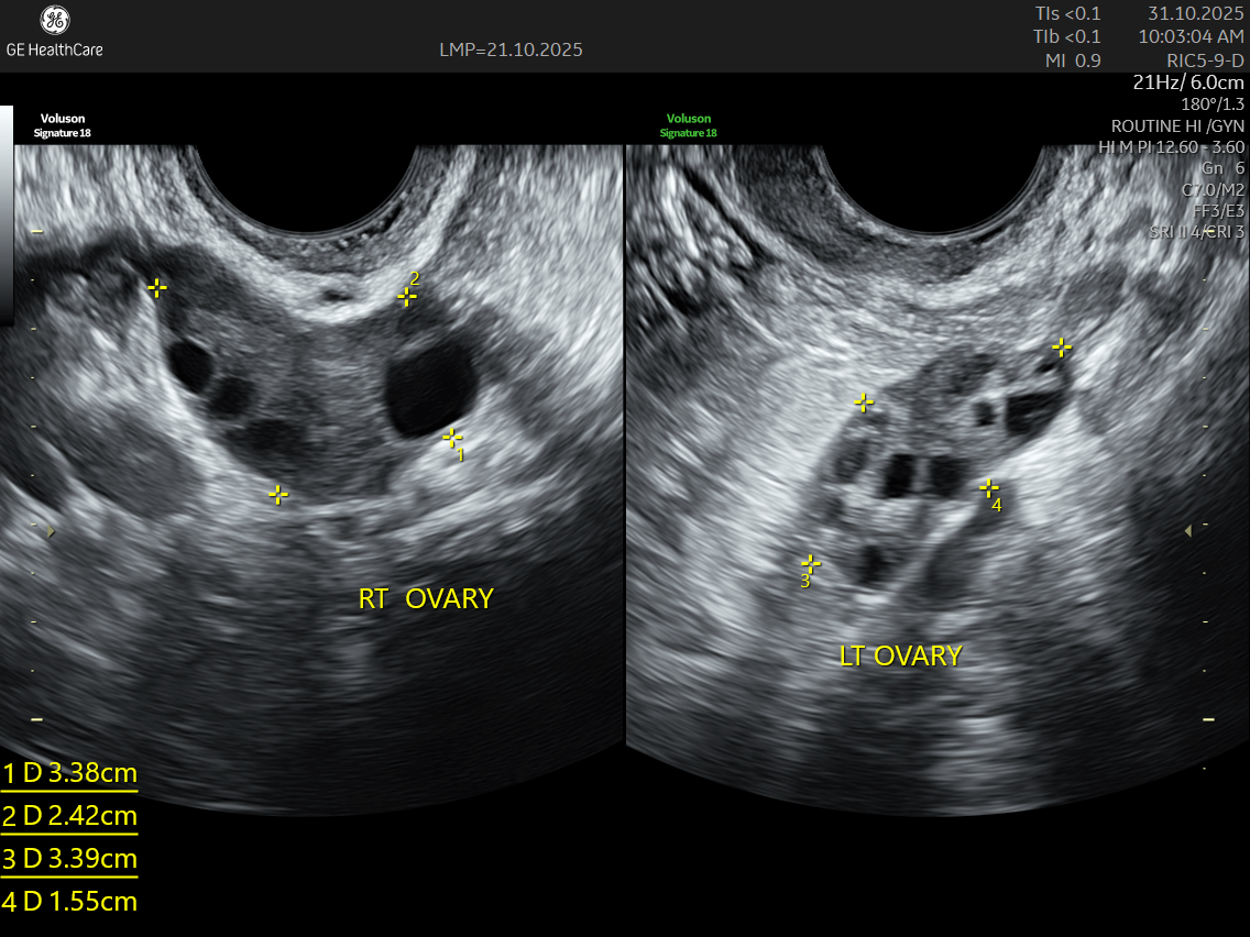
How Ultrasound Helps in Diagnosing PCOS
During an ultrasound, your doctor takes a close look at your ovaries to check three key things:
- Ovarian Size: Enlarged ovaries are common in PCOS, and measuring their size helps confirm if this is contributing to your symptoms.
- Follicle Count: The scan counts the number of tiny follicles around the edge of each ovary. A high follicle count is typical in PCOS and is an important diagnostic clue.
- Stroma Pattern: The texture and appearance of the ovarian tissue itself can show signs of the hormonal changes happening inside your body.
Why It’s Important
This scan isn’t just about diagnosis; it also helps track how your ovaries respond to treatment or lifestyle changes. Whether you’re working with medications, adjusting your diet, or planning for pregnancy, regular ultrasounds provide insights into your progress and guide your healthcare plan.
Why Choose NESA?
At NESA, our approach combines the latest evidence-based imaging techniques with a focus on your understanding and comfort. We provide easy-to-understand reports and offer confident diagnoses by our expert team, led by Dr Khurshid Alam, who has more than a decade of expertise in advanced gynaecological ultrasound in Kolkata.
Ready to Take the Next Step?
If you suspect PCOS or want a thorough ovarian check, come for an advanced ultrasound evaluation at NESA. We’re here to help you understand your body better and take control of your health journey.
