Your Complete Guide to Fetal 3D/4d Growth Scan in Kolkata at NESA Institute of Fetal Medicine
Are you looking for a reliable fetal growth scan in Kolkata for the third trimester of pregnancy? Discover how NESA Institute of Fetal Medicine can help monitor your baby’s wellbeing, spot complications early, and guide you through the next steps.
What is a Fetal Growth Scan?
A fetal growth scan is a specialized ultrasound performed between 28 and 32 weeks of pregnancy. This scan measures your baby’s growth, checks organ development, and ensures overall fetal health. It is especially important to detect growth concerns, facilitate timely interventions, and plan for a safer delivery.
Key Benefits of the Fetal Growth Scan:
- Accurately tracks your baby’s development and estimated weight
- Assesses amniotic fluid levels and placental health
- Detects fetal movement, breathing activity, and presentation (e.g., breech or head-down)
- Evaluates blood flow using Doppler studies
- Screens for late-detected structural and congenital abnormalities
Why Might You Need a Fetal Growth Scan?
Doctors recommend a fetal growth scan to ensure optimal pregnancy outcomes, especially if you:
- Have gestational conditions (like diabetes or hypertension)
- Experienced complications in prior pregnancies
- Are expecting twins or multiples
- Show a belly size that doesn’t match gestational age
- Are recovering from a previous C-section
What Does the Fetal Growth Scan Involve?
During the scan, these parameters are checked:
- Biometric Measurements: Head Circumference, Abdominal Circumference, Femur Length
- Estimated Fetal Weight (EFW): Compared with normal pregnancy charts
- Amniotic Fluid Index (AFI): Evaluated in four uterine quadrants
- Placental Position and Grade: Location, function, and blood flow
- Fetal Presentation: Orientation of the baby for delivery planning
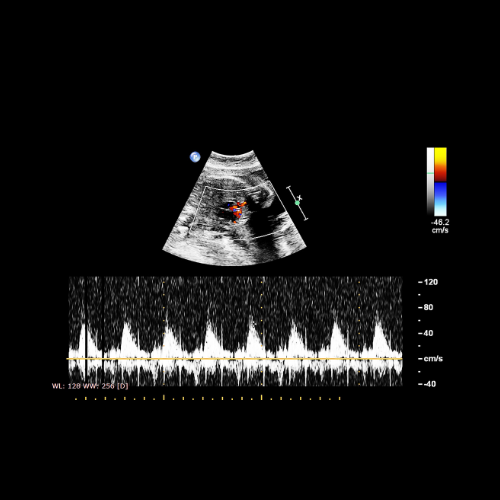
- Doppler Flow Studies: Umbilical artery, middle cerebral artery, ductus venosus
- Fetal Movements and Breathing
- Anatomical Survey: Brain, spine, heart, kidneys, and bladder
What Happens if Issues are Detected?
If the scan identifies red flags (small or large size for gestational age, abnormal Doppler, fluid problems, or congenital anomalies), doctors may recommend further investigations such as:
- Non-stress tests and biophysical profiles
- Repeat ultrasounds for close monitoring
- Referral to fetal medicine experts
- Planning early delivery if medically required
Why Choose NESA Institute of Fetal Medicine for Your Growth Scan in Kolkata?
- Expert radiology and fetal medicine team
- Latest women’s and obstetric ultrasound machines
- Detailed fetal assessment and personalized reports
- Clean, comfortable, and hygienic clinics
- Supportive staff and nurses
Book Your Fetal Growth Scan
To schedule your scan or resolve pregnancy concerns, call NESA Institute of Fetal Medicine at +91 92306 49133. Conveniently located in Central Kolkata, NESA ensures detailed, trusted pregnancy scans to support your journey.



