Nuchal Translucency Scan at NESA Institute of Fetal Medicine, Kolkata
Looking for a reliable Fetal NT (Nuchal Translucency) Scan centre in Kolkata?
NESA Institute of Fetal Medicine offers specialized first-trimester screening for expectant parents, delivering high-precision NT scans between 12 to 13 weeks of pregnancy. Our experienced fetal medicine team ensures accurate risk assessment for chromosomal abnormalities, including Down syndrome, Edwards syndrome, and Patau syndrome.
What is an NT Scan?
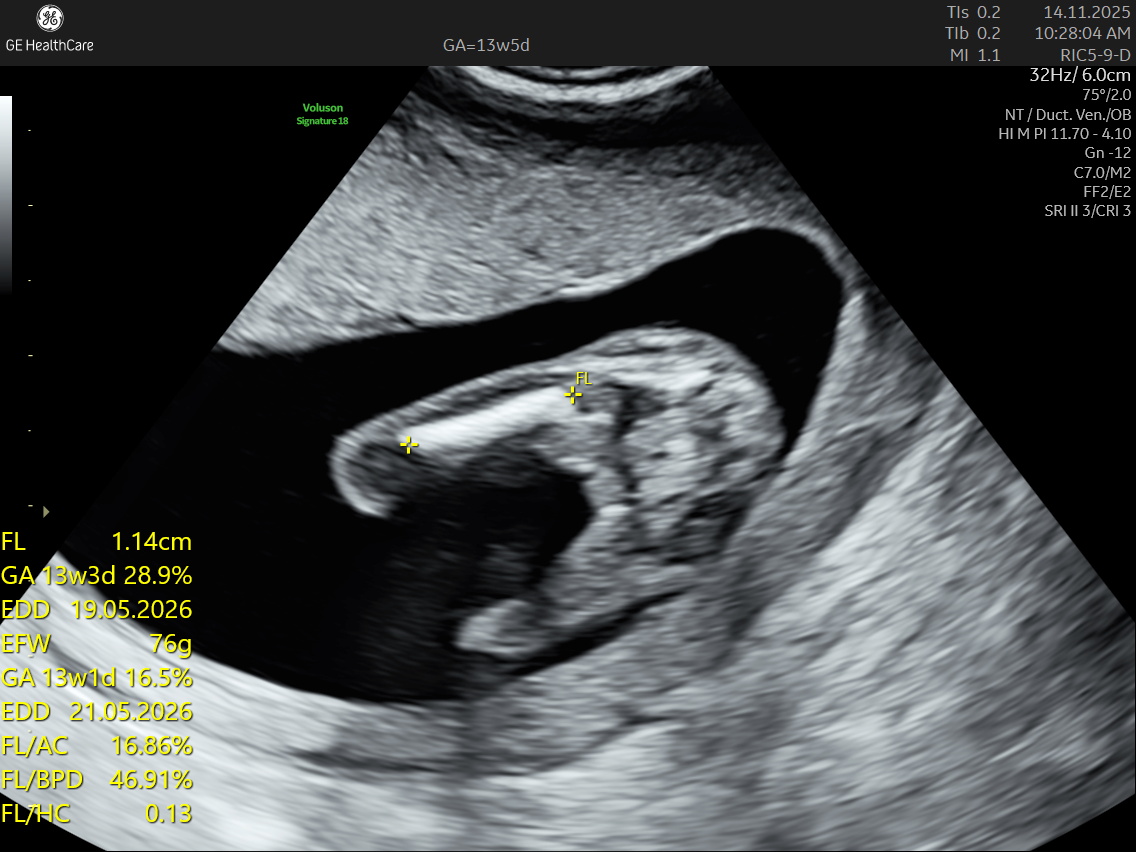
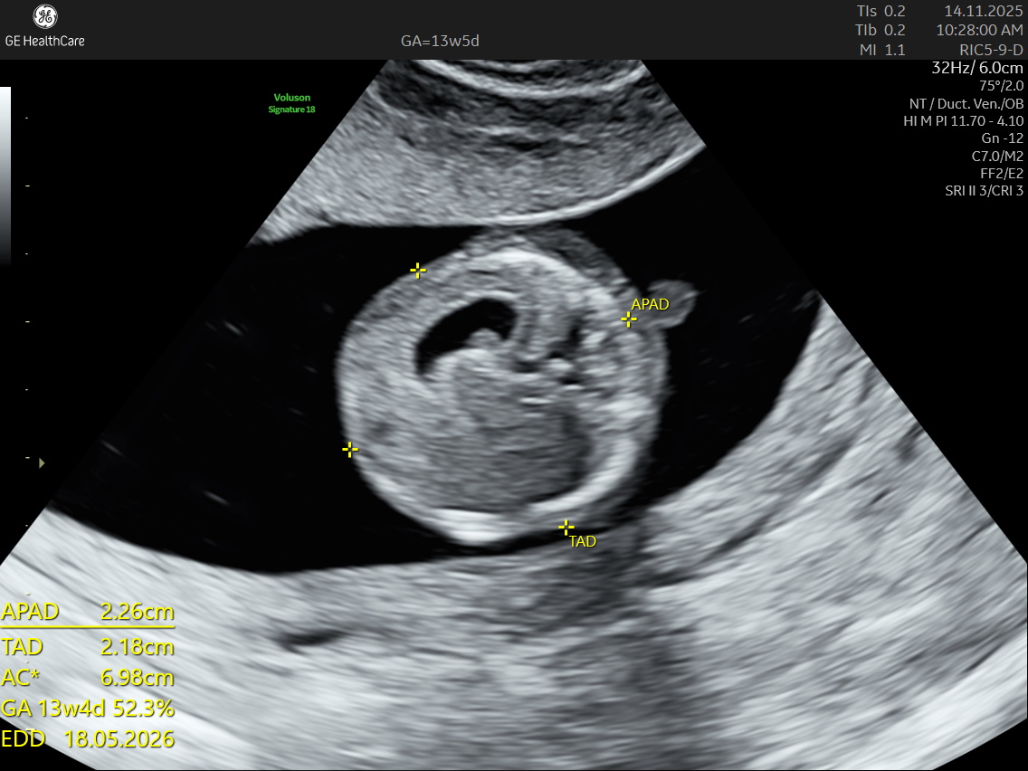
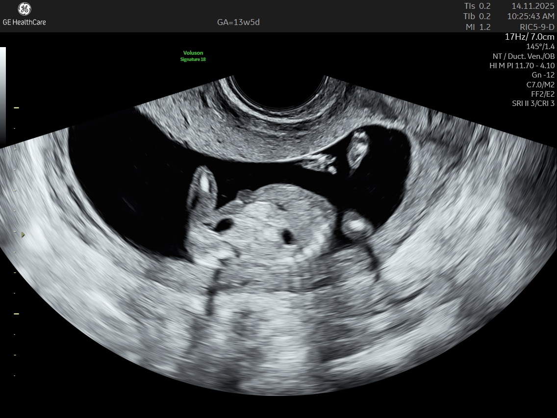
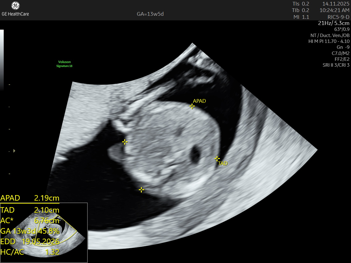
The NT scan is a non-invasive ultrasound examination conducted in the first trimester (12–13 weeks). It measures the nuchal translucency (the fluid at the back of the fetus’s neck) and combines it with the maternal blood test for a detailed risk profile. NT Scan is an important early screening test for Down syndrome (Trisomy 21), Edwards syndrome (Trisomy 18), and Patau syndrome (Trisomy 13).
What are the defects that an NT scan screens for?
The NT scan measures the fluid-filled space at the back of the fetal neck, and an increased NT measurement (typically 3.5 mm or more) may indicate a higher risk for:
- Chromosomal conditions such as Down syndrome (trisomy 21), Edwards syndrome (trisomy 18), and Patau syndrome (trisomy 13).
- Congenital heart defects, which are among the most common physical birth defects, including septal defects and tetralogy of Fallot.
- Other major structural fetal abnormalities such as duodenal atresia, body stalk anomaly, and multisystem abnormalities including acrania and kyphoscoliosis.
- Absence or shortness of the nasal bone, which is a soft marker for genetic conditions like Down syndrome, although it does not mean there is a physical defect in the nose functionally.
- Increased NT is also associated with an increased risk of mortality and structural defects that may be incompatible with life.
Although the NT scan is mainly a screening tool and not diagnostic on its own, it can identify about 50% of major fetal abnormalities when combined with other assessments like blood tests and detailed ultrasound. The scan also helps to screen some basic anatomical structures during the first trimester, especially the fetal heart anatomy, brain, face, spine, stomach, abdominal wall, kidneys, bladder, and extremities to varying degrees depending on gestational age and maternal factors.
Physical defects that may be suggested or detected during the NT scan include:
- congenital heart defects,
- major structural anomalies like spinal and abdominal wall defects,
- absence of nasal bone, and
- markers linked with chromosomal abnormalities, which may present with multiple system anomalies.
How accurate is the nuchal translucency test?
NT screenings alone can detect about 70% of trisomy 21, or Down syndrome cases. Many healthcare providers combine a normal NT ultrasound with blood screenings. The accuracy of predicting conditions increases to about 95% when combined with first-trimester blood tests. Click here to know more about First Trimester Screening – what does it screen for?
Why is Early Screening for Down’s Syndrome important?
- High Prevalence of Genetic Disorders: Every year, an estimated 23,000–29,000 babies in India are born with Down syndrome. Since genetic conditions like this are fairly common, early screening with an NT scan becomes absolutely essential. It helps identify babies at risk while there’s still time to make informed choices, ensuring no family is caught off guard at birth.
- Early Detection Empowers Parents: Getting an NT scan in the first trimester gives parents crucial information, much earlier in the pregnancy, about their baby’s health. If there’s a higher risk for chromosomal changes, you’ll have the option to go for advanced tests like amniocentesis or to plan the next steps well in advance. Knowledge is power—and peace of mind.
- Changing Patterns in Maternal Age: Today, more women in urban Kolkata are choosing to have babies after 35. It’s important to know that as maternal age increases, so does the likelihood of chromosomal differences in the baby. For these moms-to-be, an NT scan offers extra reassurance by accurately checking baby’s health right from the start.
- Less Stress with Early Intervention: Finding out about possible risks early on not only allows for better medical planning, but also reduces emotional strain for families. When you know what to expect, you can prepare—both emotionally and practically.
- Improved Access to Quality Care: Many families in Kolkata and West Bengal may not have easy access to advanced healthcare facilities. At Petals Imaging, we bridge this gap by offering state-of-the-art diagnostics and quick referrals, so every parent—no matter where they live—can get timely help and support.
Why Choose NESA Institute of Fetal Medicine for NT Scan in Kolkata?
- Leadership in maternal-fetal medicine.
- Trusted by thousands of expectant parents.
- Ethical, confident, and caring patient communication.
- Highest standards for scanning accuracy and patient comfort.
- Easy access across Kolkata.














