Fetal Well-being Scan at NESA Institute of Fetal Medicine, Kolkata
As your pregnancy journey enters its final weeks, NESA Institute of Fetal Medicine offers the Fetal Well-being Scan—a specialized ultrasound performed between 28 and 40 weeks. This essential check ensures your baby’s health and readiness for birth, giving you and your family confidence and clarity as you approach delivery.
Why Book a Fetal Well-being Scan at NESA?
This scan is designed to assess multiple aspects of your baby’s well-being and the mother’s preparedness for labour. Here’s what it covers:
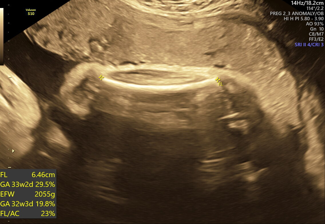
- Fetal Growth & Weight: Verifies if your baby’s size and weight meet healthy expectations for their gestational age.
- Amniotic Fluid Levels: Detects if fluid is too low or high, which could impact delivery and baby’s health.
- Placental Health: Examines if your placenta is supplying nutrients and oxygen effectively.
- Birth Preparation: Confirms the baby’s position (head-down, breech, transverse) and checks readiness for labour.
- Vital Functions: Measures movements, breathing, and heart rate to make sure your baby is thriving.
How This Scan Helps You
- Provides a clear picture of fetal well-being right before delivery.
- Identifies last-minute complications that could affect labour or the baby’s health.
- Helps your doctor decide if additional monitoring, testing, or changes to your birth plan—such as early induction or cesarean—are needed.
- Offers reassurance to parents, especially in pregnancies with risks like high blood pressure, diabetes, twins, a history of complications, or an overdue status.
What Makes This Scan Different?
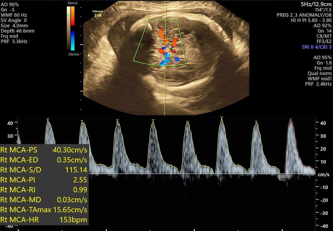
This scan focuses on confirming birth readiness and spotting sudden issues that may arise close to your due date. It includes detailed Doppler studies to check blood flow in the umbilical cord and brain, ensuring your baby gets enough oxygen and nutrients.
Do I Need This Scan?
While often recommended for at-risk pregnancies, NESA specialists may advise it for all expecting parents seeking peace of mind and a smooth delivery. Research shows that a routine well-being ultrasound in third trimester is highly effective for detecting growth restrictions that may affect outcomes for mothers and babies.
Findings That May Require Further Care
Common concerns revealed by this scan include:
- Fetal Growth Restriction (FGR) or macrosomia (large baby)
- Abnormal amniotic fluid levels
- Placental aging, detachment, or placenta previa
- Abnormal umbilical cord blood flow or cord entanglement
- Breech or transverse position
- Fetal distress signs
Read more: What if your Fetal well-being scan detects any problem
If any issues are found, your NESA care team may recommend:
- Additional monitoring and follow-up scans
- Further testing, such as NST or BPP
- Consultation with a maternal-fetal medicine specialist
- Adjusting your delivery plan for safety
Let NESA support you for a healthy pregnancy and a confident delivery in Kolkata! Call us today at +91 92306 49133,










