A guide to Dating and Viability Scan at NESA Institute of Fetal Medicine, Kolkata
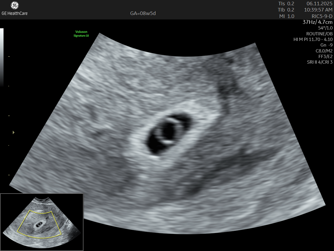
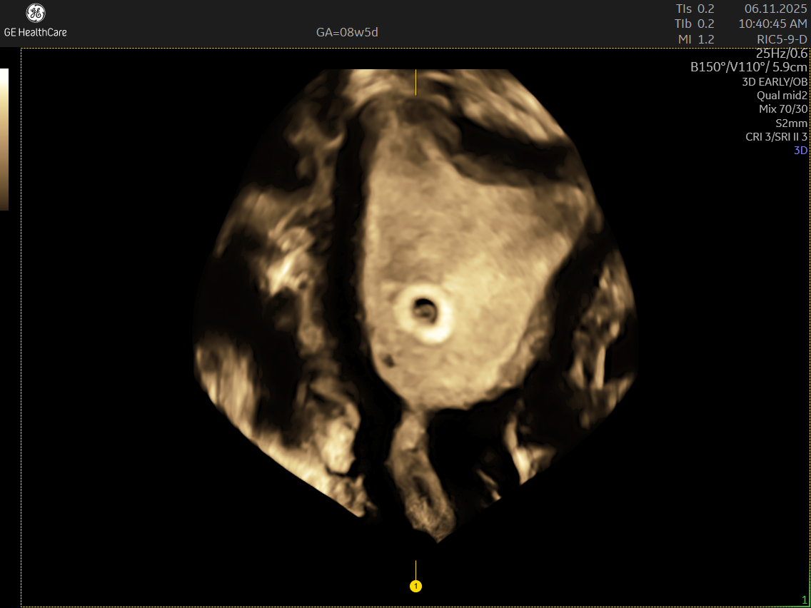
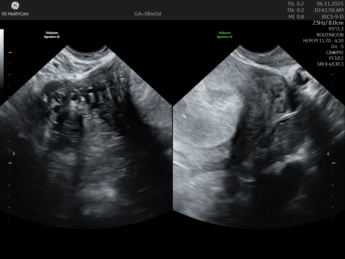
A Dating and Viability Scan is the first critical ultrasound in your pregnancy journey. Performed between 6 – 8 weeks, it confirms your pregnancy’s health, establishes how far along you are, and ensures an accurate start to your prenatal care.
Why Is This Scan Important?
- Confirms pregnancy location (ruling out ectopic pregnancy)
- Detects fetal heartbeat for reassurance of normal progress
- Determines gestational age for a precise due date
- Identifies single or multiple pregnancies
- Screens for early complications like miscarriage risks or subchorionic hematoma
Early insights from this scan enable your doctor to plan the right care for both mother and baby. Knowing exactly how far along you are allows for timely and effective monitoring throughout your pregnancy.
What Happens During the Scan?
- Usually conducted transvaginally for clear imaging
- May use a transabdominal approach in certain cases
- You might be asked to keep a moderately full bladder for better ultrasound clarity
What Can The Scan Detect?
- Ectopic pregnancy
- Missed miscarriage (no heartbeat)
- Blighted ovum (empty sac)
- Molar pregnancy
- Subchorionic hematoma
- Abnormal yolk sac or gestational sac
- Twins or higher-order multiples
- Adjustment needed for gestational age
Significance of the Dating and Viability Scan
The Dating and Viability Scan is much more than just a routine step—it is a foundation for your entire prenatal journey. This scan is crucial because:
- Establishes Pregnancy Basics: Precisely confirms gestational age and due date, which guides further check-ups, blood tests, and other scans. Without this baseline, all subsequent pregnancy assessments may be at risk of mistiming.
- Confirms Location and Progress: Differentiates a healthy intrauterine pregnancy from serious risks such as ectopic pregnancy (outside the uterus) or miscarriage.
- Ensures Timely Detection of Issues: Early identification of problems—such as blighted ovum, molar pregnancy, or lack of heartbeat—allows for prompt medical management, minimizing emotional distress and health risks.
What Happens If This Scan Is Skipped?
Skipping the Dating and Viability Scan may have important implications:
- Late Diagnosis of Complications: Conditions like ectopic pregnancy can become life-threatening if not detected early. Missed miscarriage or abnormal sac development may remain unnoticed.
- Uncertain Due Date: If your pregnancy date is off, you may miss timely vaccinations, critical prenatal screens (like Down syndrome risk at the appropriate week), or even face pregnancy interventions at the wrong gestation.
- Undetected Multiples: Twins or multiples have unique needs. Without early confirmation, your care may not be planned accordingly.
Is It Necessary If You’ve Already Had an Early Pregnancy Scan?
If you’ve had an early scan (before 6 weeks), a Dating and Viability Scan is still recommended. Early scans often cannot clearly confirm heartbeat or identify the pregnancy location, and development between 6–8 weeks is more definitive. The dating scan provides accurate measurements and confirms viability—information that can’t always be obtained from ultra-early scans.
Why Choose NESA Institute of Fetal Medicine?
- Experienced fetal medicine specialists and radiologists
- Latest ultrasound technology for precise imaging
- Personalised, patient-centred care
- Hygienic clinic setup for a safe and comfortable experience
- Trusted by expectant couples across Kolkata





