Precision Imaging for Early Detection and Effective Management
Endometriosis is one of the most complex gynecological conditions, often causing pelvic pain, infertility, and menstrual irregularities. Early and accurate diagnosis is crucial — and that’s where advanced gynecological ultrasound plays a vital role.
At our centre, we offer advanced endometriosis ultrasound in Kolkata, designed to detect even subtle or deep-seated endometriotic lesions with unmatched accuracy. Using cutting-edge transvaginal and pelvic ultrasound systems, our specialists bring clarity to complex cases that often go undetected in routine scans.
Why Choose Advanced Gynecological Ultrasound for Endometriosis
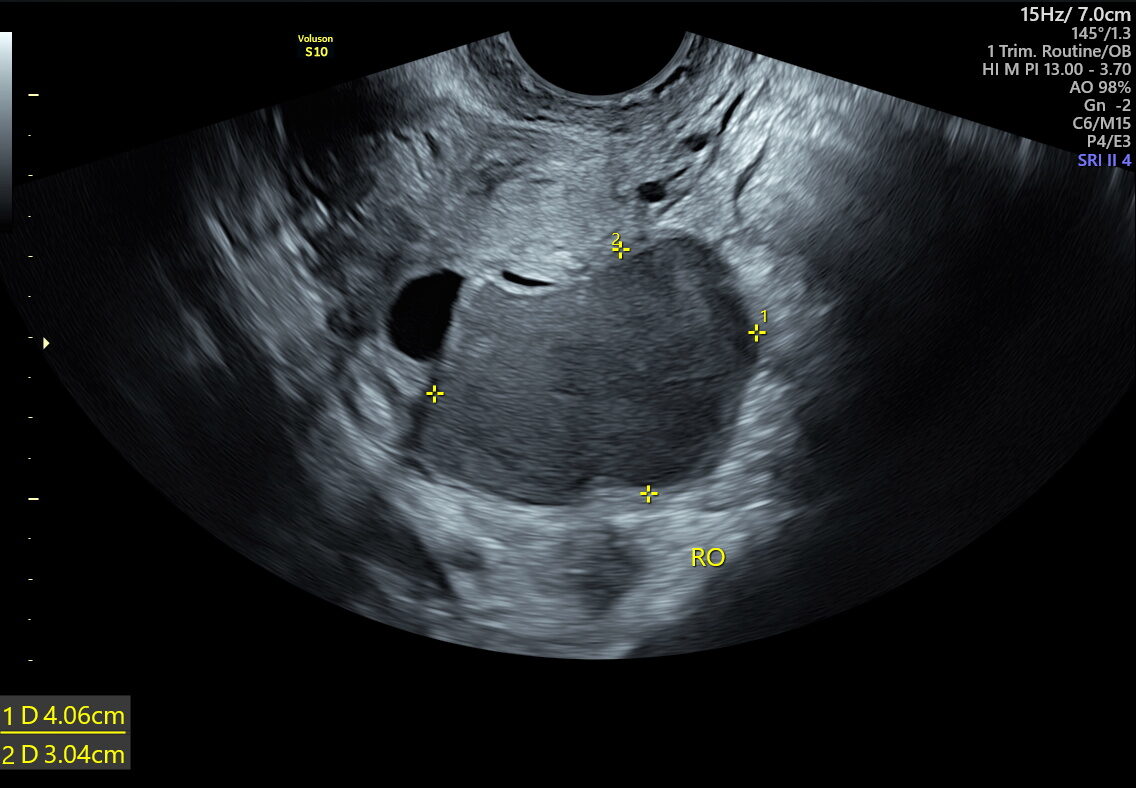
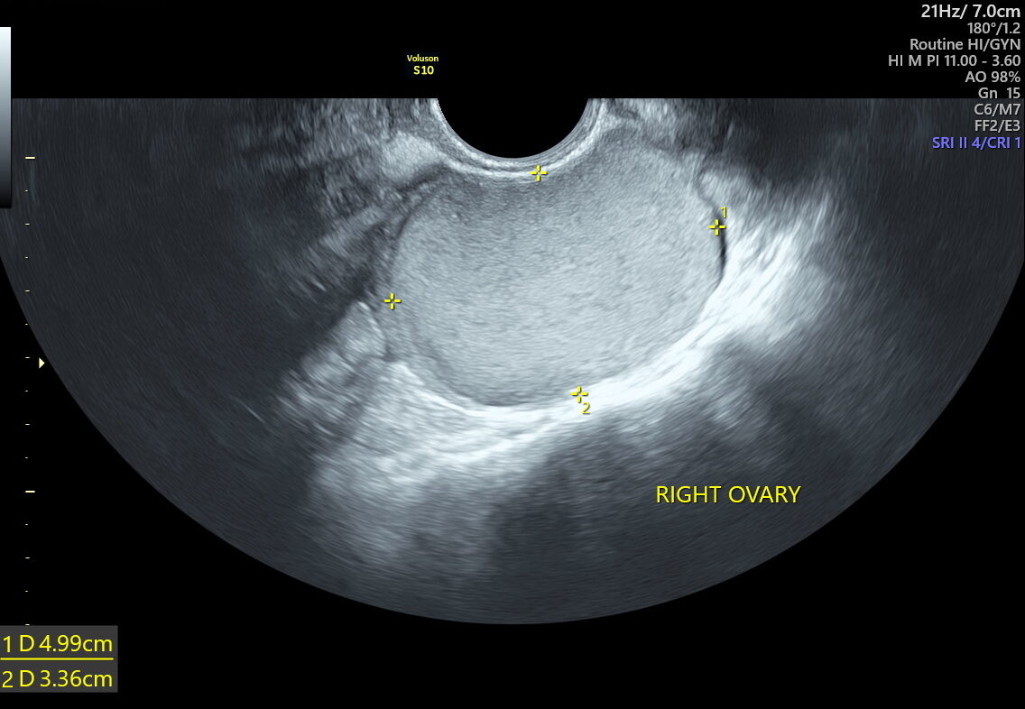
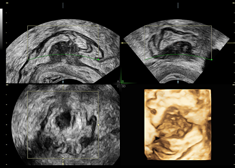
Traditional ultrasounds can miss small or deep infiltrating endometriosis. Advanced gynecological ultrasound, however, combines high-frequency probes, 3D/4D imaging, and specialized Doppler evaluation to provide detailed visualization of the uterus, ovaries, and pelvic structures.
This high-resolution imaging helps identify:
- Ovarian endometriomas (chocolate cysts)
- Deep infiltrating endometriosis (DIE) involving the bowel, bladder, or ligaments
- Pelvic adhesions and anatomical distortions
- Signs of chronic inflammation or fibrosis
Through these insights, doctors can better map the extent of disease, guide treatment planning, and monitor progress after therapy or surgery.
Ultrasound in the Diagnosis of Endometriosis
The diagnostic power of advanced gynecological ultrasound in Kolkata lies in its precision. Our fetal medicine and gynaecology imaging experts perform targeted assessments focusing on:
- Pelvic Adnexia scanning to locate deep lesions
- Ovarian mobility and sliding sign tests to detect adhesions
- 3D volumetric scans for a complete anatomical overview
- Color Doppler mapping to study blood flow changes in affected tissues
This level of diagnostic accuracy helps reduce the need for diagnostic laparoscopy in many cases — allowing for a non-invasive, patient-friendly diagnosis.
Ultrasound in the Management of Endometriosis
Beyond diagnosis, ultrasound remains central to managing endometriosis over time. Regular imaging enables:
- Monitoring the response to hormonal or medical treatment
- Evaluating post-surgical recovery and recurrence
- Tracking fertility outcomes for women planning conception
- Assessing complications like cyst rupture or inflammation
With advanced endometriosis ultrasound in Kolkata, clinicians can make real-time decisions that improve patient comfort, reduce unnecessary interventions, and support fertility preservation.
Why Patients Trust Us
- Dedicated Women’s Imaging Division with specialized endometriosis protocols
- Expert sonologists and fetal medicine specialists experienced in complex gynecological imaging
- Access to 3D/4D ultrasound technology and advanced probe systems
- Compassionate, discreet care tailored to each patient’s comfort and history
We believe every woman deserves clarity, confidence, and comfort when navigating endometriosis.
Book Your Advanced Gynaecology Ultrasound in Kolkata
If you’ve been struggling with chronic pelvic pain, heavy periods, or unexplained infertility, don’t ignore the signs.
Book your advanced gynecological ultrasound for endometriosis in Kolkata today — and take the first step toward accurate diagnosis and lasting relief.







